
1. 척추측만증이란?
척추측만증(Scoliosis)은 척추가 정상적인 정렬에서 벗어나 좌우로 휘어지는 상태를 말합니다. 일반적으로 척추는 정면에서 봤을 때 일직선이어야 하지만 척추측만증이 발생하면 C자형 또는 S자형으로 휘어집니다.
이 질환은 대부분 성장기 청소년에게 발생하며 특히 여학생에게서 더 많이 발견됩니다. 척추측만증이 진행되면 신체 균형이 무너지고 심할 경우 내부 장기에도 영향을 줄 수 있어 조기 발견과 관리가 매우 중요합니다.
2. 청소년기에 척추측만증이 생기는 이유
척추측만증의 원인은 아직 명확하게 밝혀지지 않았지만 다음과 같은 요인이 영향을 미칠 수 있습니다.
1) 특발성(원인 불명) - 전체 척추측만증의 약 80%를 차지하며 명확한 원인 없이 발생합니다. 유전적 요인이 영향을 줄 수 있습니다.
2) 잘못된 자세 - 장시간 책상에 앉아 공부하거나 스마트폰을 사용할 때 나쁜 자세를 유지하면 척추에 불균형한 하중이 가해질 수 있습니다.
3) 급격한 성장 - 청소년기에는 뼈가 빠르게 자라는데 이때 척추의 균형이 맞지 않으면 측만증이 악화될 수 있습니다.
4) 근육 불균형 - 특정 근육이 약해지거나 긴장되면서 척추를 한쪽으로 당기는 경우 척추가 휘어질 가능성이 커집니다.

3. 척추측만증을 조기에 발견하는 방법
척추측만증은 초기에는 통증이 거의 없어 쉽게 알아차리기 어렵습니다. 따라서 부모나 교사가 아이들의 자세를 주의 깊게 관찰하는 것이 중요합니다.
1) 자가진단 방법 (아담스 전방 굴곡 검사, Adams Forward Bend Test)
가정에서도 간단하게 척추측만증 여부를 확인할 수 있는 방법이 있습니다.
(1) 아이가 발을 모으고 무릎을 편 상태에서 허리를 숙이게 합니다.
(2) 뒤에서 등을 관찰하며 한쪽 등이 더 튀어나오거나 어깨 높이가 다르면 척추측만증을 의심할 수 있습니다.
(3) 허리를 곧게 세운 상태에서 양쪽 어깨, 골반의 높이를 비교합니다.
(4) 몸이 한쪽으로 기울어져 있거나 옷이 한쪽으로 자꾸 돌아간다면 척추측만증일 가능성이 있습니다.
2) 거울을 이용한 관찰
아이에게 자연스럽게 서게 한 뒤 거울을 통해 다음과 같은 증상을 확인해 보세요.
- 한쪽 어깨가 다른 쪽보다 올라가 있거나 양쪽 견갑골(날개뼈)의 돌출 정도가 다름
- 골반이 기울어져 있거나 다리 길이가 다르게 보임
- 몸이 한쪽으로 치우쳐 서 있는 듯한 느낌
3) 병원에서의 진단 방법
자가진단에서 이상이 발견되면 정형외과나 재활의학과를 방문하여 전문적인 검사를 받아야 합니다.
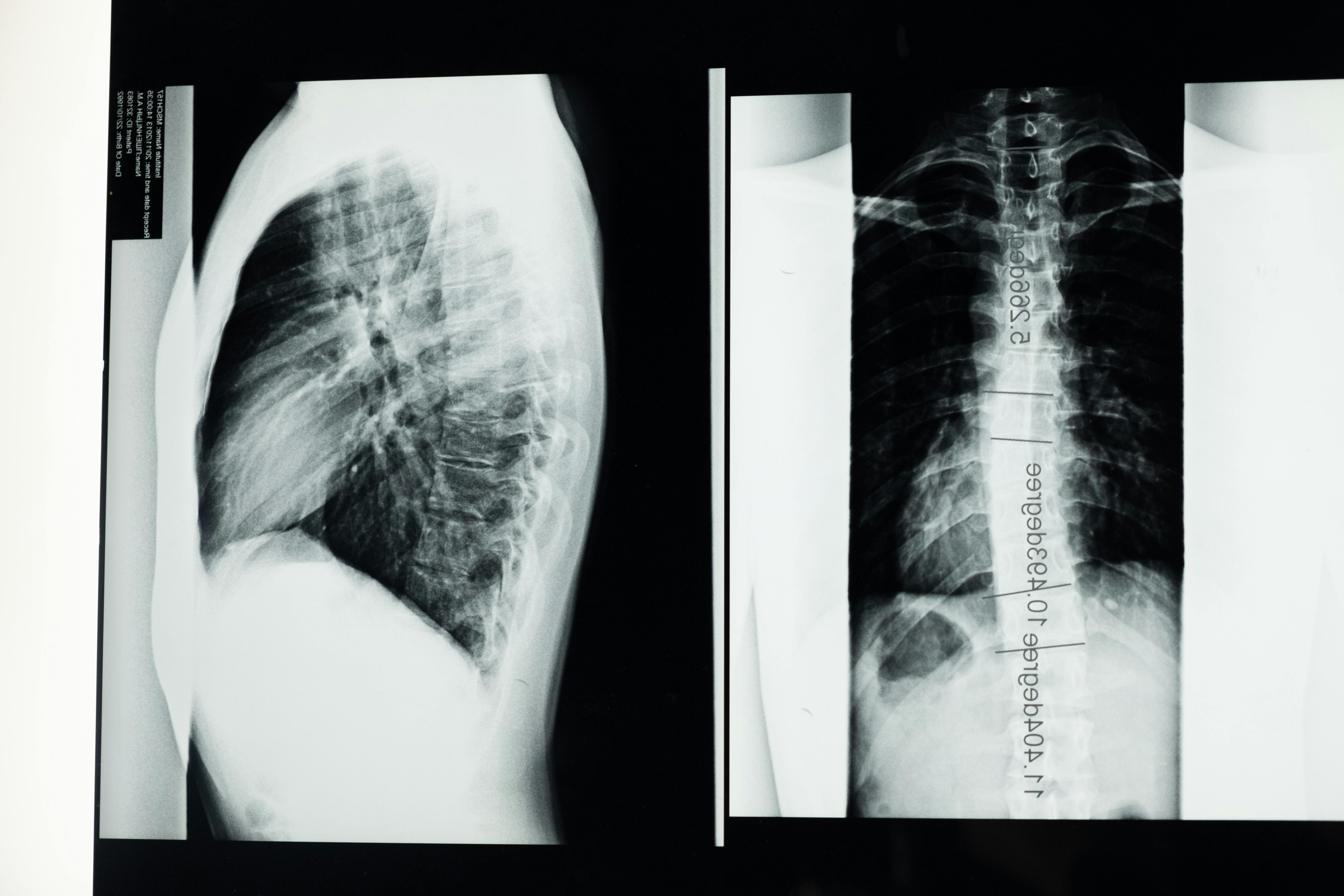
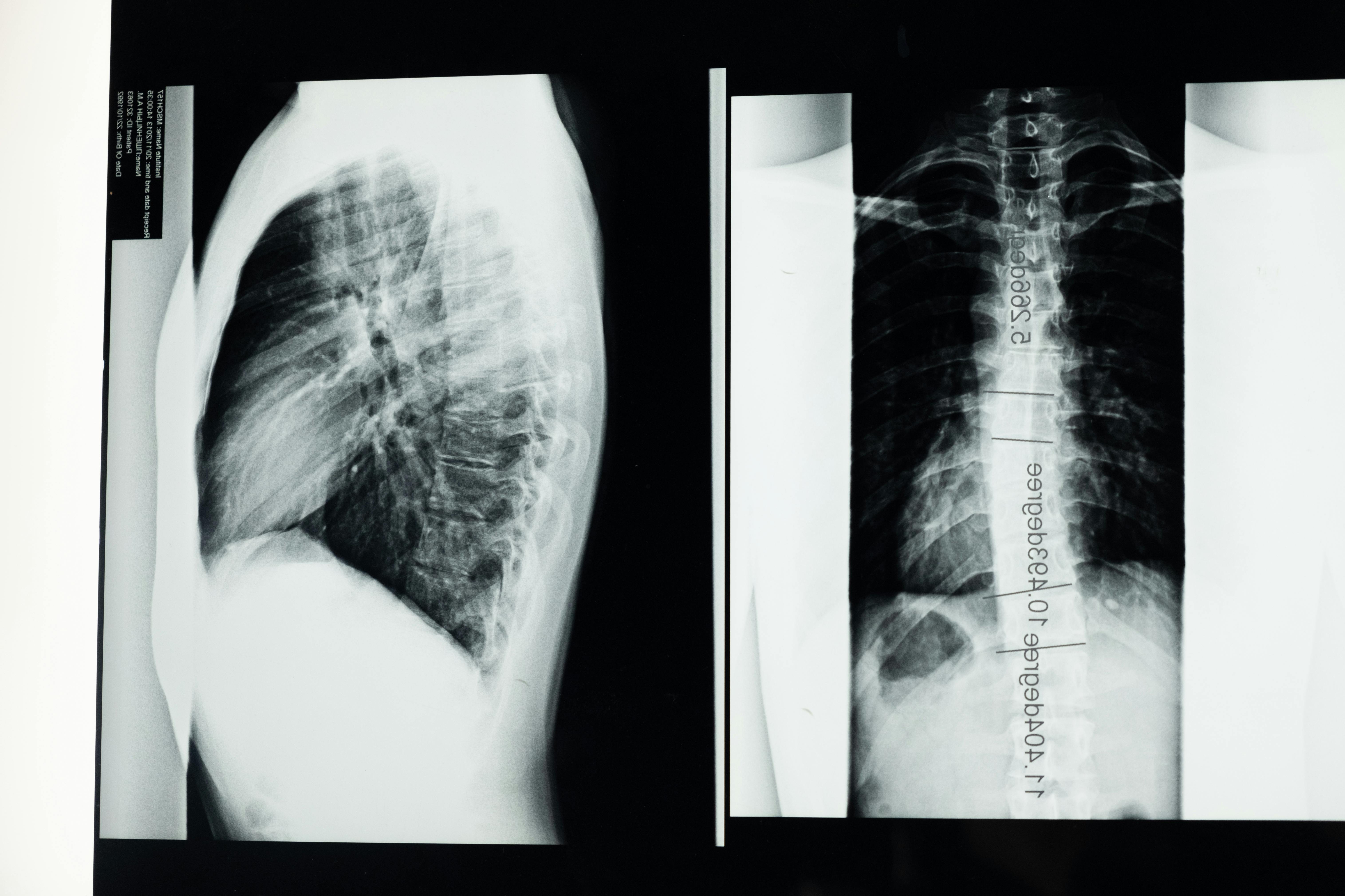
(1) 엑스레이(X-ray) 검사 – 척추가 휘어진 정도(코브 각, Cobb’s angle)를 측정하여 경증, 중등도, 중증을 구분합니다.
(2) 신체검사 – 척추의 유연성, 근력, 균형 등을 평가하여 척추측만증의 진행 여부를 판단합니다.
(3) MRI 또는 CT 검사 – 드물지만 척추측만증이 신경학적 원인(예: 척수 종양)과 관련이 있을 수 있으므로 추가 검사가 필요할 수 있습니다.

4. 척추측만증의 치료 및 관리 방법
척추측만증이 발견되면 진행 정도에 따라 다음과 같은 치료 방법을 고려할 수 있습니다.
1) 생활습관 개선 및 운동 치료 (경증: 10~20도 이하)
- 바른 자세 유지하기 (책상과 의자의 높이를 조절하고, 오래 앉아 있을 때는 자주 스트레칭)
- 근력 강화 운동 (코어 근육과 등 근육을 강화하는 운동이 척추를 지지하는 데 도움)
- 스트레칭과 필라테스 (척추의 유연성을 높이고 좌우 균형을 맞추는 운동)
- 수영 (특히 배영은 척추 주변 근육을 고르게 발달시켜 줌)
2) 보조기 착용 (중등도: 20~40도)
- 성장기 아이들은 척추측만증이 빠르게 진행될 수 있기 때문에 보조기(Brace) 착용이 필요할 수 있습니다.
- 보조기는 하루 18~23시간 착용해야 하며 성장기 동안 척추 변형을 방지하는 역할을 합니다.
3) 수술적 치료 (중증: 40~50도 이상)
- 측만의 각도가 심하고 통증이 동반되거나 폐활량 감소 등 장기 기능에 영향을 미치는 경우 수술을 고려할 수 있습니다.
- 일반적으로 금속 막대와 나사를 이용해 척추를 교정하는 척추유합술(Spinal Fusion)을 시행합니다.
5. 척추측만증 예방을 위한 습관
1) 좋은 자세 유지하기 – 스마트폰을 볼 때 고개를 숙이지 말고 허리를 곧게 펴는 습관을 들입니다.
2) 적절한 운동하기 – 성장기에 척추를 튼튼하게 유지할 수 있도록 꾸준한 스트레칭과 운동을 합니다.
3) 가방 무게 조절하기 – 한쪽 어깨에 무거운 가방을 메는 습관은 척추에 부담을 줄 수 있으므로 양쪽 어깨끈 있는 가방을 사용하거나 무게를 줄이는 것이 좋습니다.
4) 정기적인 검진받기 – 성장기 동안 정기적으로 척추 상태를 확인하는 것이 중요합니다.

6. 결론
척추측만증은 초기에는 통증이 없어 알아차리기 어렵지만 조기에 발견하면 교정과 치료를 통해 진행을 막을 수 있습니다. 아이가 성장기에 있다면 정기적으로 자세를 점검하고 생활습관을 개선하는 것이 중요합니다.
부모님과 아이 모두 척추 건강에 대한 관심을 가지고 조기에 이상을 발견해 올바른 치료와 예방을 실천한다면 건강한 척추를 유지할 수 있습니다.
'정형외과적 질환' 카테고리의 다른 글
| 요추 견인 치료의 원리와 임상적 효과: 비수술적 접근의 핵심 (0) | 2025.04.08 |
|---|---|
| 경추 통증 탈출, 경추 견인의 원리와 효과 (0) | 2025.04.07 |
| 발바닥 통증의 원인과 치료 (0) | 2025.03.30 |
| 손가락 마디 통증의 원인과 치료 (0) | 2025.03.28 |
| 골절의 치료 과정 (0) | 2025.03.17 |